alergia

Home » alergia
Flu, sick or cold child with parent sneezing, blowing and wiping runny nose while ill with covid virus, sinus and allergy symptoms in bed at home. Mother caring for stuffy and congested little son
Rinitis alérgica
¿Qué es la rinitis alérgica? La rinitis alérgica es el término médico para la fiebre del heno o las alergias nasales. Por definición, la rinitis alérgica es la inflamación de las fosas nasales caus...
Woman refusing to eat products at grey wooden table, selective focus. Food allergy concept
Alergias a los alimentos
Qué es una alergia alimentaria? Una alergia alimentaria es una reacción anormal de su sistema inmunitario a un alimento. El sistema inmunitario es la parte de su cuerpo que combate las in...
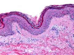
Thin skin showing the epidermis with its different strata, resting on the dermis.
Mastocitosis
¿Qué es la mastocitosis? La mastocitosis es el crecimiento anormal de mastocitos en el cuerpo. Los mastocitos son parte del sistema inmunitario, que ayuda a proteger el cuerpo contra las infeccione...
Huge Carbuncle of theback in patient with Uncontrolled Diabetes Mellitus.
Urticaria (ronchas) inducida por el ejercicio
¿Qué es la urticaria inducida por el ejercicio? La urticaria inducida por el ejercicio es una afección que produce ronchas y otros síntomas alérgicos. La urticaria o las ronchas, son protuberancias...